Busquen l'autor d'un tir al crani d'un gat a Crevillent
L’animal ha sigut intervingut d’urgència i el seu cuidador han interposat una denúncia a la Guàrdia Civil

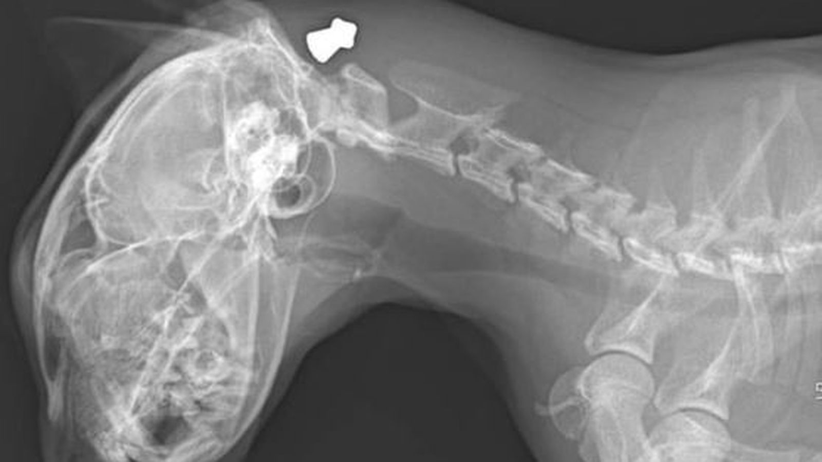
Una família de Crevillent ha denunciat l’intent d’assassinat del seu gat amb una arma de foc, concretament una carabina d’aire comprimit, segons han denunciat a les xarxes socials. L’animal ha sigut intervingut d’urgència i el seu cuidador han interposat una denúncia a la Guàrdia Civil per a tractar de trobar la persona responsable.
“Tenim sospites de qui pot haver sigut el cavernícola amb mentalitat de cromanyó que es dedica a matar els animals al meu poble. Però agraïm qualsevol informació o ajuda que pugueu aportar”, ha afirmat en una publicació a Instagram.
“No busquem diners”, ha insistit en la publicació, on ha demanat que el responsable “siga portat davant la justícia” i que li lleven l'arma, “perquè mai més puga disparar a un altre ésser viu”. A més, ha advertit a tots els veïns amb mascotes “perquè estiguen alerta”.